ABOUT COSMETIC DENTISTRY
At Dulwich Smile Suite we offer a number of cosmetic dental treatments to improve the appearance of your smile and make it easier for you to talk and eat with confidence.
Cosmetic dentistry covers a wide range of treatments and with our dedicated specialists and holistic approach we know we can find the best solution to the problems you are experiencing with your teeth. Whether it is a whiter smile you are seeking, or a way to resolve gappy, misshapen or chipped teeth, there is a cosmetic dental treatment to suit.
Please get in touch to book an initial consultation or to find out more about any of our cosmetic dentistry services.

Smile Makeovers
When you are unhappy with your smile, one treatment isn’t always enough to fix the issues and give you back your confidence. Our smile makeovers allow us to assess your teeth, mouth and gums and then combine two or more of our cosmetic dental treatments to help you achieve the smile you have always dreamed of.

Dental Veneers
Dental veneers are thin shells of porcelain that fit precisely over the natural teeth and blend in seamlessly with the rest of your smile. Veneers can be used to cover up misshapen, chipped or stained teeth and are a very natural looking and long lasting solution to changing the size, appearance and colour of your teeth.

Teeth Whitening
It’s natural for teeth to become discoloured over time, but thankfully, with teeth whitening treatments you can brighten your smile in just a few weeks. We use the Enlighten Teeth Whitening system to lighten your teeth, which involves an easy routine you can follow at home. To find out more please click here.

Composite Bonding
If you are short on time or don’t like the idea of multiple appointments, our cosmetic bonding treatments enable you to get veneers in just one hour! This revolutionary cosmetic dentistry treatment can treat worn or discoloured teeth as well as fixing small gaps between the teeth without the need for braces.







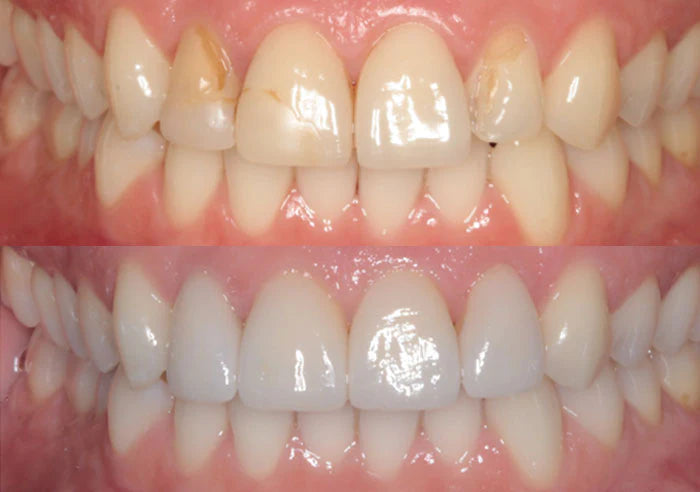
BEFORE AND AFTER IMAGES
This 38 year old female had broken veneers placed 15 years ago. We
carried out Enlighten whitening and placed EMax veneers UR2-UL2 and
provided a nighttime splint.
BEFORE AND AFTER IMAGES
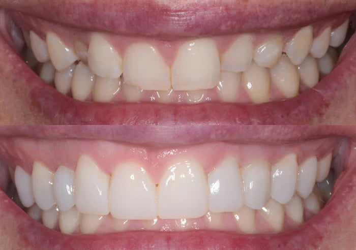
This 40 year old patient disliked her uneven looking teeth. The patient
had retained deciduous canines and a deep bite. We decided to place 10
direct upper composite veneers with a Dahl effect. The patient declined
orthodontic treatment and gum surgery and will consider implants in the next few years.
BEFORE AND AFTER IMAGES
This 25 year old patient was unhappy with his crooked uneven teeth. Here we did dual arch Invisalign Lite, tooth whitening, composite bonding ur2-ul2, class v cervical margin restorations and a small gingivectomy ur1.
BEFORE AND AFTER IMAGES
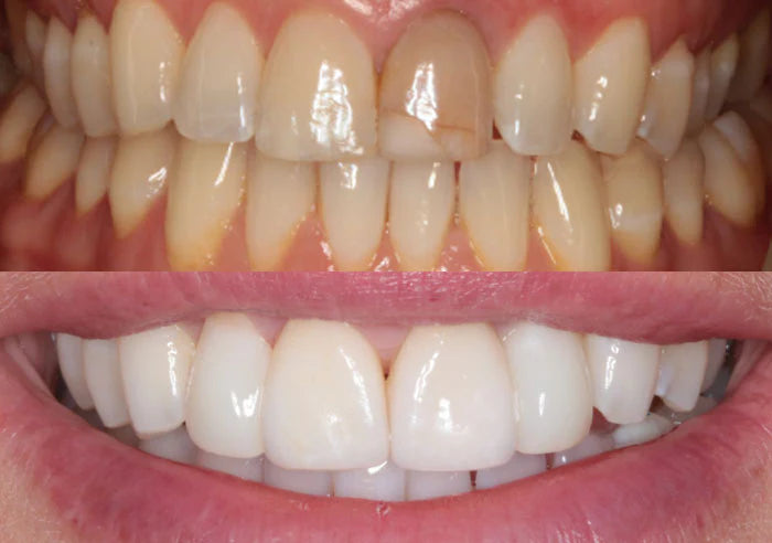
This 34 year old patient was very unhappy with the appearance of her dark front tooth and uneven edges. Here we did Enlighten whitening followed by internal whitening (inside out) of UL1. We then placed Emax veneers UR1 UL1 and direct composite veneers UR2 UL2.
BEFORE AND AFTER IMAGES
This 50 year old patient was very unhappy with the appearance of his smile. Here we did home whitening and multiple Emax crowns/veneers on the upper arch and composite bonding on the lower incisors – the patient is having composite lr3 ll3 in 6 months.
BEFORE AND AFTER IMAGES
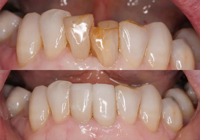
This 65 year old patients daughter was getting married and she didn’t like her 2 dark chipped lower teeth. Here we did 2 Emax veneers LR1 LL1.
BEFORE AND AFTER IMAGES
This 22 year old patient disliked her chipped uneven teeth. Here I provided simple no preparation layered composite restorations UL1 UR1.
BEFORE AND AFTER IMAGES
The 46 year old patient was very unhappy about her 2 dark teeth. Here we did external and internal whitening, replaced the dark composites and placed one veneer on the lower incisor.
COSMETIC DENTISTRY
Fee Guide
Consultation
£150
Composite
£100 - £350
Cosmetic composite bonding
£250 - £400 per tooth
Ceramic veneer
£100 per tooth
Ceramic onlay/inlay/crown
£1000 per tooth (emax/zirconia)
Gold onlay/inlay/crown
£1000 per tooth
Porcelain fused top metal Crown
£750
Recement
£180
Bridge ceramic
£1000 per unit
Bridge metal
£750 per unit
Denture – Chrome
from £1100 - £1700
Denture – Acrylic
from £500 - £1000
Home whitening – pola night (at home)
£350
Boutique whitening
£350
Home whitening – Enlighten (at home & in surgery)
£600
Internal bleaching
£100 per tooth




