ABOUT DENTAL IMPLANTS
If you're self-conscious about a missing tooth or teeth, or are finding it difficult to enjoy meals, dental implants may be the solution you have been searching for.
Dental implants offer a durable, stable, and realistic way of replacing missing teeth. They can serve as a replacement for a single tooth, multiple teeth, or to secure dentures, giving you back the confidence to smile and eat without worry. We use Straumann implants which are the market leaders for dental implants.


DENTAL IMPLANT TREATMENT
What are dental implants?
A dental implant is essentially a titanium post that is surgically embedded into the jawbone, serving as a synthetic tooth root. The implant offers a sturdy and enduring base for a replacement tooth, known as a crown, which will be customised to match the colour of your surrounding teeth.
Dental implants look and function just as natural teeth do, which makes them an ideal solution to replace missing teeth.
If you’re not sure whether dental implants are the right solution for you, please get in touch with our team to arrange a consultation.

THE PROCEDURE
What to expect
The dental implant procedure varies slightly depending upon your individual circumstances and the number of teeth that need to be replaced but in general the treatment follows the same process.
In simple terms, a dental implant is a tiny screw, made from titanium or ceramic, which is inserted into your jaw bone. This screw acts as a sturdy base to hold a replacement tooth, like a crown, bridge, or denture.
Here's how it works: first, the screw-like implant is positioned in your bone. It's designed to bond closely with the bone, a process known as osseointegration. This fusion creates a solid foundation for the replacement tooth.
While the bonding process is taking place, which can take anywhere from 3 to 6 months, a temporary tooth can be put in place.
Dental implants have a high success rate - about 95%. However, the final outcome may depend on your overall health and condition of your teeth, mouth and gums so it's important to discuss this with our team to ensure you're a suitable candidate for the procedure.

How long will dental implants last?
The longevity of your implants depends mainly on how well you take care of them at home and your commitment to regular dental check-ups.
If you take good care of your implants and your bones are in good condition, they can last for a long time. Just as regular teeth with crowns, bridges, or fillings sometimes need minor fixes or replacements, teeth with implants may need similar upkeep. So, taking care of your implants is as important as taking care of your natural teeth.

Benefits of dental implants
A dental implant procedure can literally change your life, from making it easier to talk and eat to giving you the confidence to smile in social situations. Here are just a few of the benefits implants can bring to you:
- Natural appearance - implants look and feel like your own teeth.
- Improved speech: you can speak without the worry of dentures slipping.
- Improved eating - you can eat your favourite foods confidently and without pain.
- Durability - implants are very durable and can last many years. With good care, they can even last a lifetime .
- Convenience - dental implants eliminate the embarrassing inconvenience of removing dentures, as well as the need for messy adhesives to keep them in place.
- High success rate - implants have a high success rate and are considered an excellent option for tooth replacement.



BEFORE AND AFTER IMAGES
Full mouth rehabilitation using sectional implant retained bridges.
BEFORE AND AFTER IMAGES
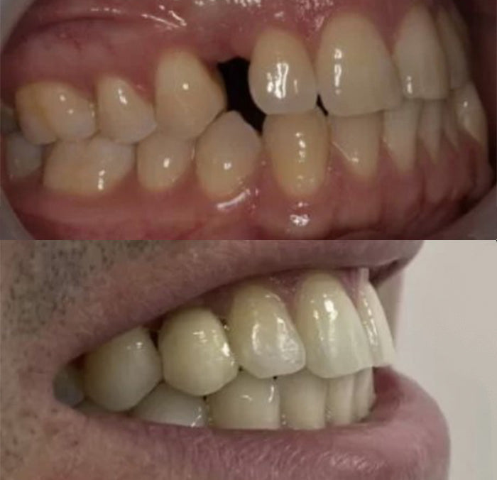
Single implant in the aesthetic zone.
BEFORE AND AFTER IMAGES
Single implant in the aesthetic zone.
Dental implants Dulwich
If you are in the Dulwich area of London and looking for a durable and long lasting solution to tooth loss, speak to us about implants. We’ll begin with an initial consultation where we can talk through the options, explore your suitability and go over the risks and benefits. Once you’re happy to proceed, we’ll create a personalised treatment plan to include the dental implant procedure, healing process and placement of crown, bridge or dentures.
Please contact us today to start a conversation about improving your smile.
DENTAL IMPLANT
FAQs
In this section we have included answers to some common questions about dental implant treatment.
Are dental implants suitable for me?
Implants are generally suitable for most people, however you will need to have good overall oral health. We’ll discuss all of this at your initial consultation.
Why do I need implants?
Implants are recommened to prevent further bone loss, which you are at risk of when natural teeth are lost.
Is the treatment painful?
Dental implant surgery is a painless procedure. A local anaesthetic is used to ensure you are comfortable throughout the process. It is possible to experience some discomfort after the treatment, but this can be managed with the pain relief prescribed by your dentist. In many cases, the implant treatment is less painful than tooth extraction and most people are able to return to their normal activities the following day.
Are dental implants expensive?
Implants are a cost effective solution since they can last for many years and do not require ongoing replacement or maintenance like dentures.
Can other people tell I have implants?
Implants look and feel like natural teeth, so no one will be able to tell that you have had treatment once your final fixed crown or bridge has been placed.
How do I look after my implants?
Excellent oral hygiene is key to keeping your dental implants in tip top shape for years to come. Regular brushing, flossing and using mouthwash is essential in maintaining the health of your implant. Our dental team can also demonstrate special techniques for keeping your implant clean and healthy.
DENTAL IMPLANT
Fee Guide
Consultation
£100
Single Implant Placement
£1,500
Single Implant Crown
£1,000
Socket Preservation
£600
Bone Grafting
£500
Soft Tissue Grafting
from £600
Sinus Lift (Closed/indirect approach)
£1,000 per site
Sinus Lift (Open/Direct Approach)
£1,200 per site
Implant Retained Denture
£10,000 per jaw
Full Arch Fixed Bridge
from £15,000 per arch

IMPLANT REFERRALS WELCOME
Refer your patient
If you are a dentist referring a patient to us, you can rest assured that they will be receiving an exceptionally high standard of care, from a dental specialist who is highly skilled and experienced in their chosen field. You can relax, knowing that your patients are in very good hands.
MAKE A REFERRAL




